Menu
Emergency Assessment Book Online Contact Us
01223 881 611 Book Online Contact Us

Spark Clear Aligners is an advanced clear aligner system to straighten your teeth

Spark Aligners are made with TruGEN™, the latest innovation in clear aligner material. Spark’s nearly invisible aligners are clearer and more comfortable.* In addition, we’ve designed them for more efficient and effective tooth movement.* Discover the difference Spark Clear Aligners can make for you when you try a product that’s BPA, mercury, latex, and phthalate-free!

invisalign-thumb1

Spark Clear Aligners

  • Clear, virtually invisible
  • Smooth and comfortable
  • Removable & easy to clean
  • More effective
invisalign-thumb2

Traditional Braces

  • Wires and brackets
  • Can decorate with colours
  • Colours can be changed at every visit
  • Non removable
VS

Spark is a nearly invisible aligner. A discreet alternative to traditional braces. It is manufactured with polished and scalloped edges, providing a more comfortable treatment. The targeted design supports more efficient and effective tooth movement and treatment planning.

Spark Clear Aligners are suitable for more than just one type of realignment. Spark Aligners can treat a variety of teeth-straightening cases, including crowding, spacing, open bite, underbite, overbite, crossbite, and more.

The proof that Spark works is in the results. This nearly invisible aligner system has created impressive finishes, treating a variety of malocclusions.

In Person Consultation

Spark Clear Aligners

Spark Clear Aligners

Spark Clear Aligners

Comparison with Spark Clear Aligners vs Other Treatments

Invisalign

Other aligners

In-person consultations with real dentists

check
check
check

Easily removable for eating, drinking & flossing*

check
check

No emergency visits for broken wires

check
check

Virtually invisible

check
check

Each aligner is trimmed to your gum line for optimal comfort and appearance**

check
check

Made using next generation technology

check

Made out of TruGEN

check

Made out of SmartTrack

check

In-person consultations with real dentists

check

Easily removable for eating, drinking & flossing*

check

No emergency visits for broken wires

check

Virtually invisible

check

Each aligner is trimmed to your gum line for optimal comfort and appearance**

check

Made using next generation technology

check

Made out of TruGEN

check

In-person consultations with real dentists

check

Easily removable for eating, drinking & flossing*

check

No emergency visits for broken wires

check

Virtually invisible

check

Each aligner is trimmed to your gum line for optimal comfort and appearance**

check

Made out of SmartTrack

check

In-person consultations with real dentists

check
In Person Consultation

Three reasons why you should choose us for your Spark Clear Aligners treatment

reasons icon

Award-winning customer service

reasons icon

Beautiful teeth in as little as three months, using safe cosmetic braces

reasons icon

Why wait? Interest free finance available

In Person Consultation

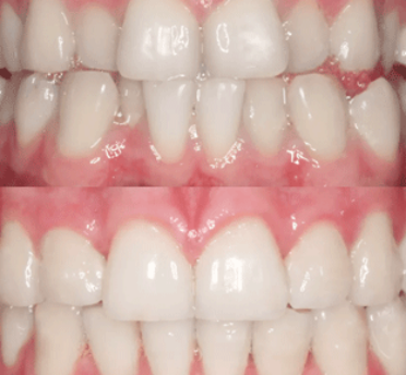
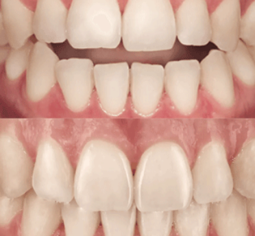
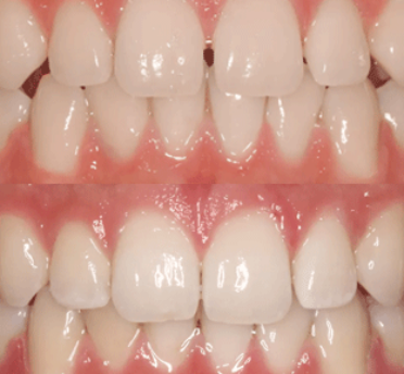
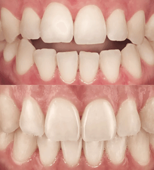
What can Spark Clear Aligners fix?

invisalign before after

Crowded teeth

Crowded teeth is a condition where you do not have enough room for your teeth to fit normally. This can cause plaque or tartar and other harmful bacteria to build up as it is harder for you to brush and floss well.

invisalign before after

Gaps between teeth

Gaps between teeth is when there is extra space between two or more of your teeth. This can cause pockets between your teeth and gums and can cause food to get stuck making them tender and sore. This might also lead to gum disease.

invisalign before after

Open bite

An Open bite is when your upper and lower teeth don't touch when you close your mouth. An open bite can make it hard for you to chew or difficult to bite even the most common of food like apples.

invisalign before after

Underbite

An underbite is when you close your mouth and your lower front teeth are in front of your upper teeth. In many cases, this is actually a problem with your lower jaw being too far forward. An underbite can make it hard to chew properly and speak clearly, and it might cause your teeth to wear down more quickly.

invisalign before after

Overbite

An overbite is when your upper front teeth overlap with your lower front teeth. Most people have at least a little overbite. When your overbite is too large, your doctor might tell you you have a deep bite. This can cause problems, from your teeth wearing down to pain in your jaw.

invisalign before after

Crossbite

A crossbite is when you close your mouth and yet some of your upper teeth are sitting inside your lower teeth rather than on the outside. A crossbite can make your teeth wear down or chip. It can also make your gums start to recede or make little notches above your gum line. This kind of damage can lead to painful gum problems or even bone loss.

In Person Consultation

Cost of Spark Clear Aligners Clear Braces

Affordable Spark Clear Aligners treatment

Many people worry about the cost of Spark Clear Aligners braces, and so we have devised a number of payment plans to help you afford the right treatment with Spark Clear Aligners . Spark Clear Aligners braces from £2.50 per day with our finance options.

Read More

Spark Clear Aligners

from £ 3000
  • Award-winning customer service
  • Beautiful teeth in as little as three months, using safe cosmetic braces
book now
scan thumb
itero logo

Virtual 3D scan

We can create a 3D image of your teeth in just minutes using a Medit scanner, the pinnacle of scanning technology.

FAQs

1. What is the treatment process?

What is the treatment process?

Spark Clear Aligners treatment starts with a consultation with a Spark Clear Aligners-trained doctor. Your doctor will evaluate your smile and then map out a precise, customised digital treatment plan that showcases the step-by-step transformation of your smile. Once you approve your plan, your unique aligners will be created. You will wear each set of aligners for 20 to 22 hours a day, changing to a new set of aligners every 1 to 2 weeks, as directed by your doctor. Each set of aligners will gently and gradually shift your teeth into place, according to your treatment plan, until you reach your beautiful new smile.

How long does Spark Clear Aligners treatment take?

Depending on the complexity of your case, you could complete your treatment in as little as 6 months. But you’ll start seeing results in a matter of weeks.

What are Spark Clear Aligners clear aligners made of, and what do they look like?

Spark Clear Aligners Clear aligners are made of flexible plastic — specifically, a patented thermoplastic material called SmartTrack, created exclusively for Spark Clear Aligners treatment.

2. What is Spark Clear Aligners treatment?

What is Spark Clear Aligners treatment?

Spark Clear Aligners treatment is wearing a series of clear, removable aligners that gradually straighten your teeth. There are no brackets and wires and no restrictions that come with metal braces.

What are Spark Clear Aligners clear aligners made of, and what do they look like?

Spark Clear Aligners Clear aligners are made of flexible plastic — specifically, a patented thermoplastic material called SmartTrack, created exclusively for Spark Clear Aligners treatment.

How will Spark Clear Aligners treatment straighten my teeth?

Your Spark Clear Aligners Doctor will create a unique, digital treatment plan that maps out the exact movements of your teeth. Your Spark Clear Aligners clear aligners are then designed to apply the right amount of force to the right place at the right time based on your plan. Your Spark Clear Aligners Doctor will be with you every step of the way to monitor your progress and ensure your aligners fit correctly.

What are the primary benefits of Spark Clear Aligners treatment?

Spark Clear Aligners Clear aligners are virtually invisible — people may not even notice you’re wearing them. You can remove them to eat and drink, brush and floss, or for special occasions. There are no metal brackets or wires that could irritate your mouth or break.

Unlike other brands, Spark Clear Aligners are made from patented SmartTrack material, which is more comfortable and provides a better fit. Spark Clear Aligners aligners are also trimmed based on your gum line for comfort and appearance. As the most advanced clear aligner system in the world, we have successfully improved over 8 million smiles, including 1.4 million teen smiles.

Am I guaranteed to have straight teeth with Spark Clear Aligners treatment?

Every smile is unique, which is why your Spark Clear Aligners treatment starts with a consultation. During your consultation, your Spark Clear Aligners Doctor will help you determine what Spark Clear Aligners treatment could do for your smile. We cannot guarantee a particular treatment outcome but encourage you to share your treatment goals with your Spark Clear Aligners Doctor at your consultation.

3. How much does Spark Clear Aligners treatment cost and what are the payment options?

How much do Spark Clear Aligners cost?

Like other types of orthodontic treatment, the price of the Spark Clear Aligners treatment depends on the complexity of your dental correction and your course of treatment.

Is Spark Clear Aligners treatment more expensive than braces?

Spark Clear Aligners treatment typically costs about the same as braces.

4. Why should I feel confident about Spark Clear Aligners treatment?

How many people have used Spark Clear Aligners clear aligners?

Over 8 million people, including more than 1.4 million teens, have used Spark Clear Aligners to transform their smiles.

How is Spark Clear Aligners treatment different from other teeth-straightening options?

Spark Clear Aligners treatment is the most advanced clear aligner system in the world, backed by more than two decades of innovation.

Unlike braces, Spark Clear Aligners clear aligners are removable and virtually invisible. There are no wires and brackets, so you don’t need to change the way you brush and floss. And you can continue to eat all your favourite foods.

And no other clear aligner is made from SmartTrack material. This advanced technology helps move your teeth more predictably and can help you get the smile you want up to 50% faster. Learn more about the Spark Clear Aligners difference or view our treatment comparison chart.

How old is the company behind Spark Clear Aligners clear aligners?

Align Technology, Inc., the company that makes Spark Clear Aligners clear aligners, was founded in 1997.

5. What if I've had braces or other types of Dental Work?

I am currently wearing braces. Can I switch to Spark Clear Aligners treatment?

Possibly. Spark Clear Aligners Doctors are treating a significant number of patients with a combination of braces and Spark Clear Aligners — consult your Spark Clear Aligners Doctor to determine the best treatment approach for your smile.

Since having my braces removed, my teeth have shifted. Can Spark Clear Aligners treatment fix this?

Yes, Spark Clear Aligners clear aligners can treat nearly all common teeth-straightening issues, from simple to complex. Many people who formerly had braces choose Spark Clear Aligners treatment as the discreet solution to improve their smile when they find that their teeth have shifted back.

I have veneers or crowns. Will Spark Clear Aligners work with them?

It depends. Talk with your Spark Clear Aligners Doctor about the dental work you’ve had done, including veneers and crowns, and he or she will evaluate your individual needs.

I have bridgework on several teeth. Will Spark Clear Aligner’s clear aligners still work?

Spark Clear Aligners Clear aligners are designed to move each tooth individually. Because bridgework connects two or more teeth, clear aligners may not be effective.

6. How do I take care of my aligners?

What’s the best way to clean my aligners?

The best way to clean your aligners is by brushing and rinsing them in lukewarm water and using the Spark Clear Aligners Cleaning Crystals or special cleaning tablets. You must brush your teeth after each meal before re-inserting your aligners to maintain good oral hygiene.

If I have food residue (like blueberries or pasta sauce) in my mouth when I put my aligners back in, can they become stained?

Yes. That’s why it’s important to brush after every meal before placing your Spark Clear Aligners aligners back in your mouth.

What if I lose or break an aligner? What should I do?

If you lose or break a Spark Clear Aligners aligner, immediately let your Spark Clear Aligners Doctor know. Your Spark Clear Aligners Doctor will work with you to ensure you stay on track with your treatment plan, which may involve wearing a previous set of aligners, your next set of aligners, or ordering replacement aligners.

Can I order replacement aligners from the Spark Clear Aligners brand directly?

All aligners and retainers must be ordered through your Spark Clear Aligners Doctor, as they are considered prescription items. Please contact your Spark Clear Aligners Doctor directly if you need to order a replacement.

7. What happens when I'm done with Spark Clear Aligners treatment?

Will I need to wear a retainer after treatment to prevent my teeth from moving again?

Most Spark Clear Aligners Doctors recommend that anyone who has completed orthodontic treatment, whether with braces or Spark Clear Aligners treatment, use a retainer to prevent teeth from gradually shifting back toward their initial position. Every case is different, so ask your Spark Clear Aligners Doctor if you need retainers.

What type of retainer should I use?

While there are many different types of retainers, we recommend Vivera retainers. Vivera retainers were specifically designed for use after Spark Clear Aligners treatment and are made from a proprietary material 30% stronger than other leading clear retainer materials, which helps you to keep your new smile.

Your Vivera retainers will be virtually invisible and custom-made from an impression or scan of your teeth, using the same start-of-the-art technology used for Spark Clear Aligners clear aligners.

How much do Vivera retainers cost?

Contact your Spark Clear Aligners Doctor for more information on Vivera retainers, as pricing can be based on your individual needs. All Vivera retainer orders will include an extra set in case you lose one.

How do I order Vivera retainers?

You can order Vivera retainers through your Spark Clear Aligners Doctor.

How long will I have to wear my Vivera retainers?

Your Spark Clear Aligners Doctor will give specific instructions on how often you need to wear your retainers. Typically, you wear your first set full time, then based on your Spark Clear Aligners Doctor’s recommendation, you may gradually reduce how much you wear them until you only wear them at night.

Lost your Vivera retainer? No problem.

If you lose or break your last set of Vivera retainers or simply run out, just get in touch with your Spark Clear Aligners Doctor. They can work with you on purchasing a new set of Vivera retainers, so you can keep showing off that smile!

In Person Consultation

Contact

Get In Touch

To speak with a member of our team to arrange or cancel an appointment or to make an enquiry as a new or existing patient, please get in touch.

instagram instagram Instagram

Contact Us Book Online
Google Rating
4.7
Google-review